Mobirise

In- Office Whitening

Choose from Zoom Advanced to Cool White or Crystal White . Guranteed Results in 60 -90 min.

Mobirise

Home Whitening

From Custom made whitening kits to USB powered Box kits. Results start showing in 1 week.

Mobirise

Real Cases , Real Results

We have probably done the most whitening procedures in Goa. Have a look at real cases and real results.

IN - Office Whitening

Immediate results in 60 - 90 minutes .

Zoom Advanced

3 cycles of 15 minutes each and upto 14 shades whiter . Free Scaling Included

Cool White

3 cycles of 20 minutes each and upto 10 shades whiter. Free Scaling Included

Crystal White

3 cycles of 20 minutes each and upto 6 shades whiter. 

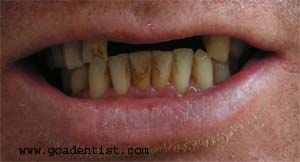
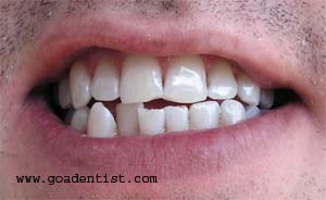
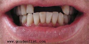
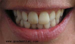
 REAL Cases

Our past cases , not photoshoped in any way

Before

After Zoom

Before

After Cool White

Before   

After Crystal White

Home Whitening

Take it home, follow the instructions and Voila !

Calangute

Dr. Pimenta's Dental Practice
D-8, Romano Chambers ,
Opposite Cafe Coffee Day,
Calangute Market Road
Porbavaddo Calangute 
Goa - India


Margao

Dr. Pimenta's Dental                    
110 Lake Plaza,
Opp Nehru Stadium,
Above Borkars Super Stores Fatorda Margao
Goa - India

Phones & Email

+ 91 - 9822131325
+ 91 - 9822157333
Email:
ambertp@gmail.com

Website Software