Veneers

Porcelain veneers, or “dental veneers,” can change the appearance of teeth that are chipped, worn, stained, crooked, or generally damaged. A porcelain veneer acts as a thin shell, covering the surface of a tooth. Porcelain veneers are bonded directly to the front of teeth with adhesive cement for an immediate improvement in the shape and color of each tooth.

Mobirise

Lets Talk about how its done !

The color of porcelain veneers can be matched to the color of a patient’s teeth. And because dental veneers are made of porcelain, a glassy composition, they are resistant to staining. Porcelain veneers reflect light in a similar way as tooth enamel, and can be buffed and shaped to look just like natural teeth.

The entire porcelain veneer cosmetic dentistry procedure normally takes only 2-3 visits to our dental office .

In the first visit the patient will discuss the procedure with the cosmetic dentist. During this initial consultation the dental patient will have the opportunity to discuss how the final smile should look. Please feel free to bring pictures of ideal smiles to your initial consultation! During the second appointment the teeth will be prepared for the porcelain veneers and a mold will be made of the teeth. In the final appointment porcelain veneers, designed specifically for the patient, will be placed on the teeth.

Porcelain veneers have become popular in the time that they have been available because they are natural looking, durable, and long-lasting. To learn more about porcelain veneers, please contact us today..

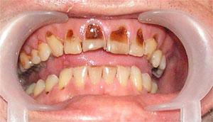
Tetracycline Staining

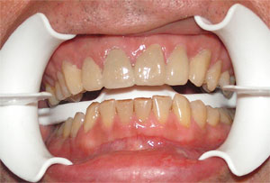
Smile Makeover with 16 Veneers

Before

After ( 16 Veneers )

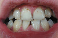
Excessive Brushing

Full complement of Upper Veneers

Dental Veneer Aftercare :

While it may take a little time to get used to the appearance and feel of porcelain or composite veneers, there is no special care needed. You should not bite any objects that can cause the dental veneers to come off. You should continue to maintain your oral hygiene program, which includes thorough brushing and flossing.

Before

After  ( Upper 6 Veneers )

Need to lenghten later Incisors

Even looking smile with 6 veneers

Need to straighten smile line

Teeth aligned with 8 veneers

Advantages of Dental Veneers

There are many advantages of using porcelain veneers as a tooth restoration procedure. You can achieve a very good cosmetic appearance with a minimal amount of tooth preparation. This is not often the case with dental crowns. Composite veneers are the more popular of the two, as porcelain veneers have a tendency to fracture. Composite veneers are also thinner and therefore require less tooth structure removal before the veneer is applied. But, the advantage of using porcelain veneers over composite veneers is that porcelain veneers are more durable and less likely to stain, but it is still recommended that a person avoid excessive consumption of foods and drinks that tend to stain, such as coffee, tea or wine. If you tend to grind or clench your teeth, a porcelain or composite veneer can chip or fracture. When a dental veneer breaks, it cannot be repaired. The porcelain or composite veneer must be completely replaced.

Calangute

Dr. Pimenta's Dental Practice
D-8, Romano Chambers ,
Opposite Cafe Coffee Day,
Calangute Market Road
Porbavaddo Calangute 
Goa - India


Margao

Dr. Pimenta's Dental                    
110 Lake Plaza,
Opp Nehru Stadium,
Above Borkars Super Stores Fatorda Margao
Goa - India

Phones & Email

+ 91 - 9822131325
+ 91 - 9822157333
Email:
ambertp@gmail.com

Free AI Website Software